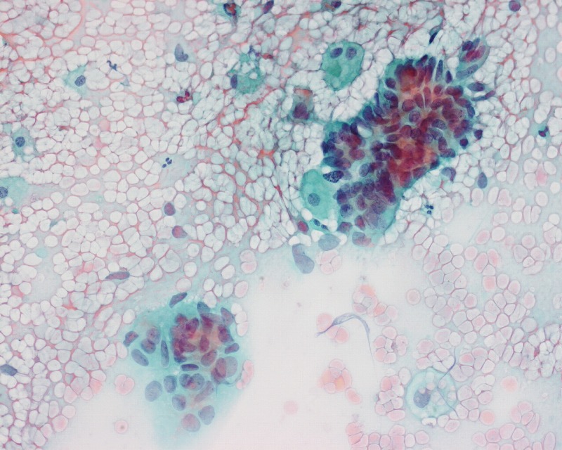
症例問題-09                  
 
材料:子宮内膜  年齢:80歳    
   * 画像をクリックすると拡大写真が見れます。