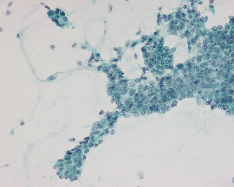
症例問題-08                  
 
材料:子宮内膜  年齢:72歳   臨床所見:不正出血 
   * 画像をクリックすると拡大写真が見れます。