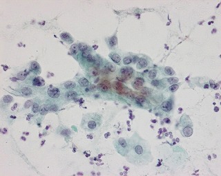
症例問題-05              

 

 材料:子宮頸部擦過    年齢:79歳   

* 画像をクリックすると拡大写真が見れます。