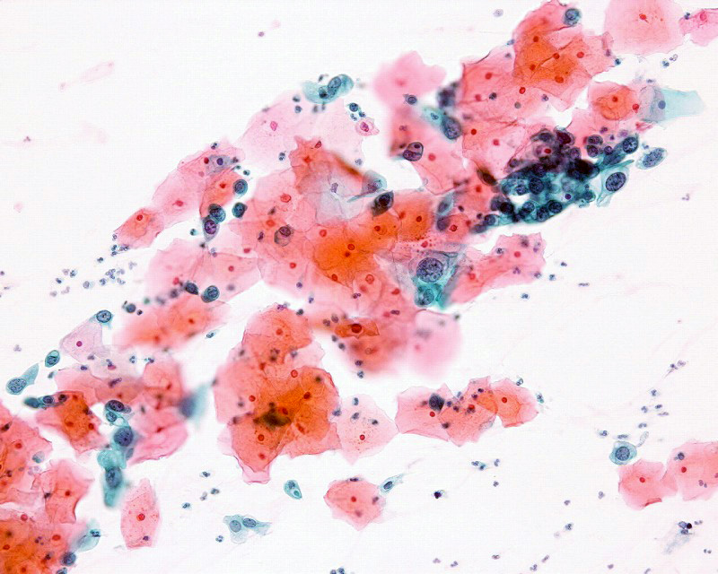
問題 11                   
 
材料:子宮頸部擦過 年齢:40歳   臨床所見:不正出血 
   * 画像をクリックすると拡大写真が見れます。