ベセスタシステム問題

 

写真 (左 ×200  右 ×400) *強拡大(右側)は画像をクリックすると拡大写真が見れます。

 

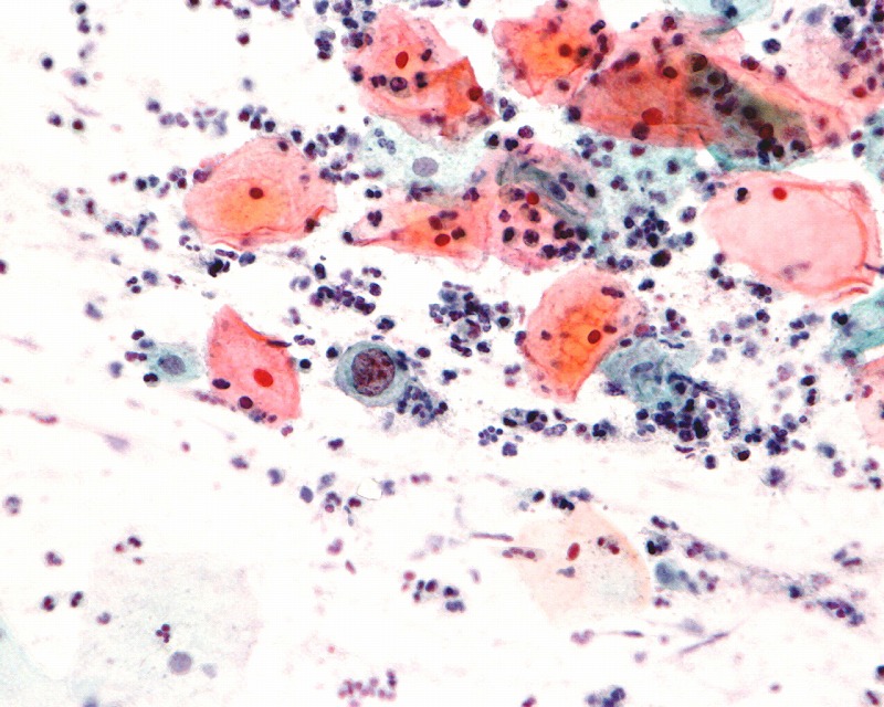
問題 1   材料:子宮頸部擦過   年齢:38歳

 

問題 2   材料:子宮頸部擦過   年齢:42歳

 

問題 3   材料:子宮頸部擦過   年齢:37歳  

 

問題 4   材料:子宮頸部擦過   年齢:41歳

 

問題 5   材料:子宮頸部擦過   年齢:48歳

 

問題 6   材料:子宮頸部擦過   年齢:44歳

 

問題 7   材料:子宮頸部擦過   年齢:36歳

 

問題 8   材料:子宮頸部擦過   年齢:45歳

 

問題 9   材料:子宮頸部擦過   年齢:40歳

 

問題 10   材料:子宮頸部擦過   年齢:38歳