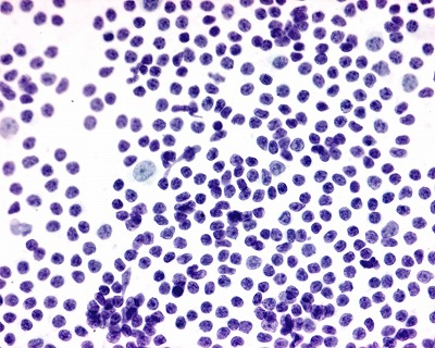
症例.4

       87歳、女性 全身リンパ節の腫脹あり     ソケイ部リンパ節 生検材料

                                            *画像をクリックすれば図を拡大できます。

  

  

  

          上記の細胞所見に対応する病名の番号を選択してください。

                                                       非ホジキンリンパ腫は細胞サイズで選択してください。) 

01, 非特異性反応性リンパ節炎

02, 伝染性単核()

03, 亜急性壊死性リンパ節炎

04, 結核性リンパ節炎 

05, 非ホジキンリンパ腫・小細胞型

06, 非ホジキンリンパ腫・中細胞型

07, 非ホジキンリンパ腫・大細胞型

08, 非ホジキンリンパ腫・混合型 

09, 非ホジキンリンパ腫・多形細胞型

10, ホジキンリンパ腫 

11, カルチノイド転移

12, 腺癌細胞転移  

13, 小細胞癌転移

14, 胎児型・胞巣型横紋筋肉腫転移 

15, 悪性黒色腫転移 

16.ユーイング肉腫

17.猫ひっかき病