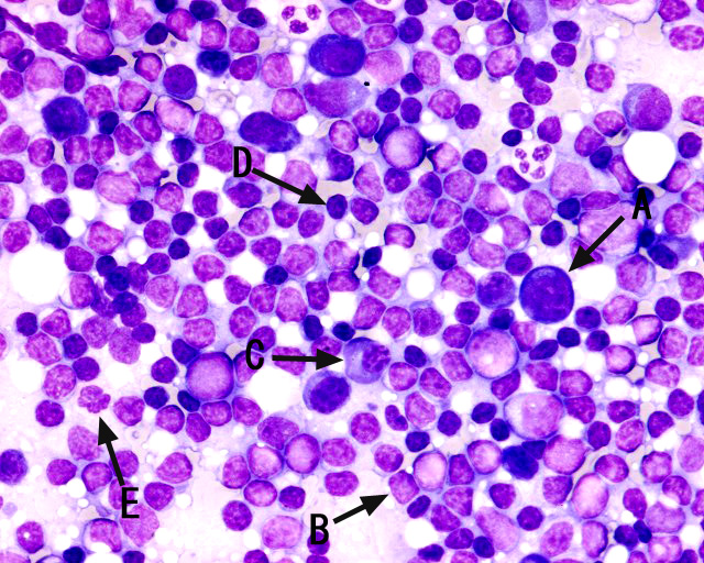
細胞分類問題

       

     *A〜Eの細胞について、下記から適当と思われる番号を選択してください。

 

      1, 小リンパ球       2, 中型リンパ球     3, リンパ芽球  

      4.異型リンパ球       5, 形質細胞             6, 大型類リンパ球

      7,免疫芽球        8, 類形質細胞           9, 組織球