|
平成20年度 疑問症例検討会内容 (10月04日開催 於:滋賀医大) |
|||
|
* 組織にて確定されていない症例につきましては、確定次第掲載します。 |
|||
|
* 画像をクリックすると拡大写真が見れます。 |
|||
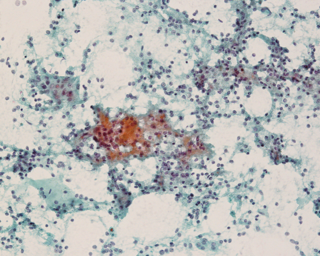
| 症例ー1 | |||
| 材料:耳下腺腫瘍スタンプ | 年齢:60歳、男性 | ||
|
●耳下腺腫瘍の疑い。FNAの細胞診にてワルチン腫瘍の疑いVa、今回、迅速診断時にスタンプ標本作製 |
|||
![]() |
![]() |
![]() |
![]() |
| Pap | Pap |
Pap |
Pap |
![]() |
![]() |
![]() |
![]() |
| Pap | HE | HE | PAS |
|
●組織診断:Acinic cell adenocarcinoma(腺房細胞癌) |
|||
| 症例ー2 | |||
|
材料:子宮内膜 |
年齢:31歳、女性 |
||
|
●子宮体癌、卵管癌の疑い |
|||
![]() |
![]() |
![]() |
![]() |
| Pap | Pap | Pap | Pap |
![]() |
![]() |
![]() |
![]() |
| Pap | Pap | HE | HE |
|
●組織診断:Degenerative atypia with numerous calcified glanules |
|||
| 症例ー3 | |||
|
材料:子宮内膜 |
年齢:44歳、女性 |
||
|
●子宮膣部びらん、子宮体癌の疑い |
|||
![]() |
![]() |
![]() |
![]() |
| Pap | Pap | Pap | Pap |
![]() |
![]() |
![]() |
![]() |
| HE | HE | HE | HE |
|
●組織診断:Undifferentiated carcinoma with endocrine differentiation |
|||
| 症例ー4 | |||
|
材料:左頸部腫瘤 |
年齢:68歳、男性 |
||
|
●画像上は微小石灰化を示唆する点状高エコーあり。転移性リンパ節、悪性リンパ腫疑い |
|||
![]() |
![]() |
![]() |
![]() |
| Pap | Pap | Pap | Pap |
![]() |
![]() |
![]() |
![]() |
| HE | HE | HE | HE |
|
●組織診断: 癌、分類未確定。 |
|||
| 症例ー5 | |||
|
材料:子宮頸部 |
年齢:80歳、女性 |
||
|
●外子宮口から突出する腫瘍あり。膀胱癌の既往歴あり。 |
|||
![]() |
![]() |
![]() |
![]() |
| Pap | Pap | Pap | Pap |
![]() |
![]() |
![]() |
![]() |
| Pap | Pap | HE | HE |
|
●組織診断: Malignant Mixed Mullerian Tumor |
|||
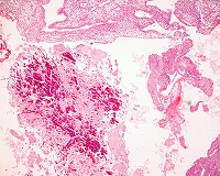
| 症例ー6 | |||
|
材料:腹水 |
年齢:77歳、男性 |
||
|
|
|||
![]() |
![]() |
![]() |
![]() |
| Pap | HE(セルブロック) | HE(セルブロック) | CK7 |
|
●組織診断: 腺癌、原発不明。 |
|||
| 症例ー7 | |||
|
材料:胸水 |
年齢:80歳、女性 |
||
|
|
|||
![]() |
![]() |
![]() |
![]() |
| Pap | Pap | CA125 | Pap |
![]() |
![]() |
||
| Giemsa | HE(セルブロック) | ||
|
●組織診断: 癌、原発不明。 |
|||
| 症例ー8 | |||
|
材料:膵液 |
年齢:72歳、男性 |
||
|
|
|||
![]() |
![]() |
![]() |
![]() |
| Pap | Pap | Pap | Pap |
|
● IPMT、癌疑い。 |
|||
| 症例ー9 | |||
|
材料:膵液 |
年齢:81歳、女性 |
||
|
|
|||
![]() |
![]() |
![]() |
![]() |
| Pap | Pap | Pap | Pap |
|
● 腺癌疑い |
|||
| 症例ー10 | |||
|
材料:子宮内膜 |
年齢:56歳、女性 |
||
|
● 良・悪性の判断つかず、意見を聞くために症例提示 |
|||
![]() |
![]() |
![]() |
![]() |
| Pap | Pap | Pap | Pap |
|
●全体的意見:シート状配列が主で、細胞質も厚いことから反応性変化を考えるべきではとの結論。 |
|||
| 戻る | |||