症例ー7
 
 

 ● 症例: 年齢68歳 女性  

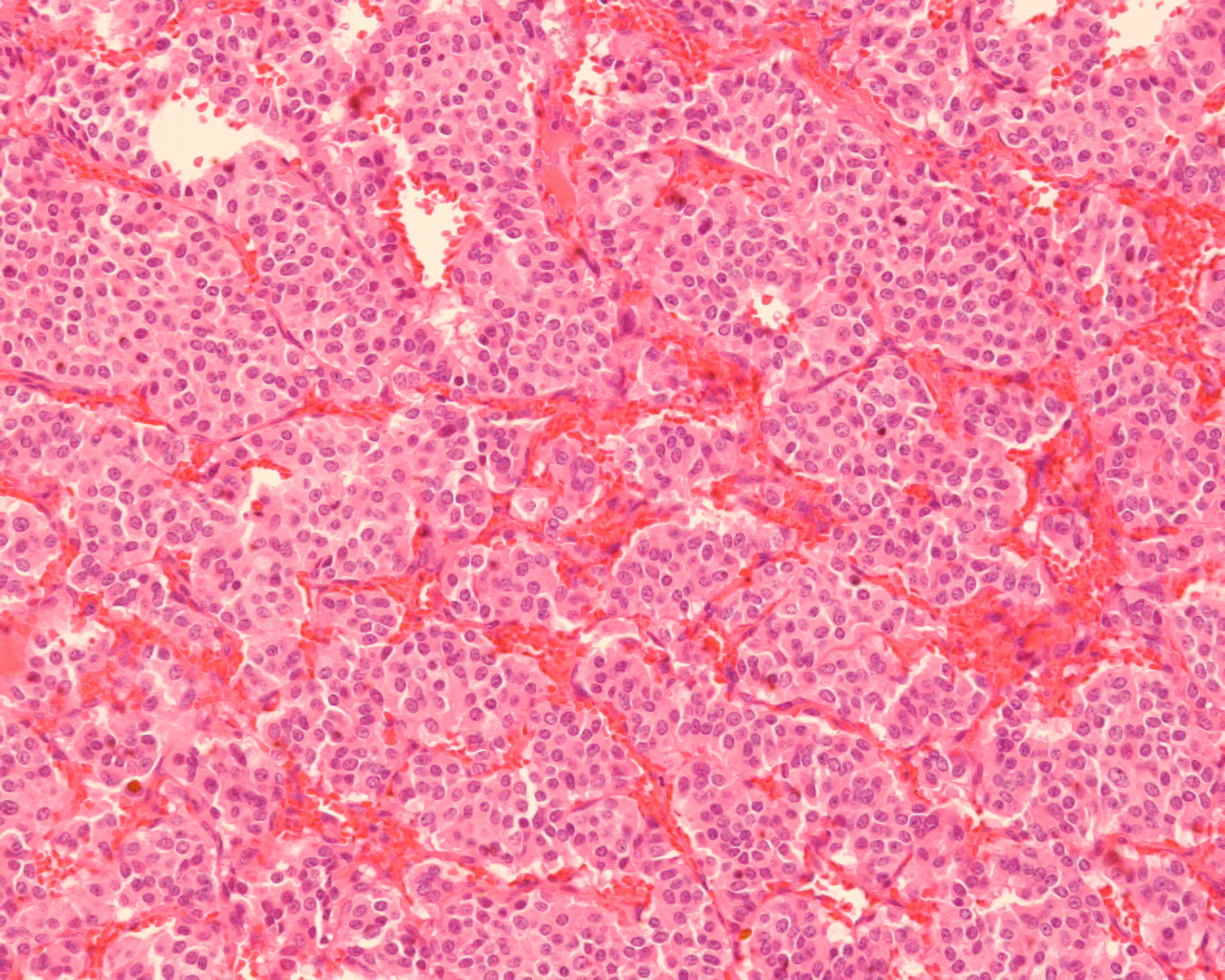
 縦隔腫瘍にて迅速診断検査を施行。

 

   

*画像をクリックすると拡大写真が見れます。
Pap染色
 
組織診断

 組織診断: Carcinoid tumor of the thymus

Ki-67 synaptophysin